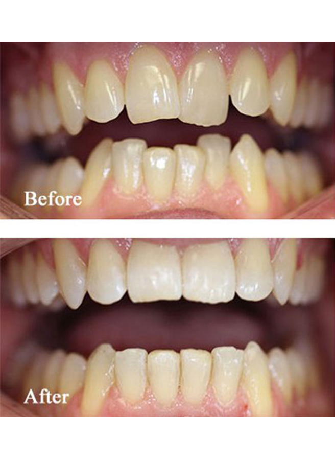
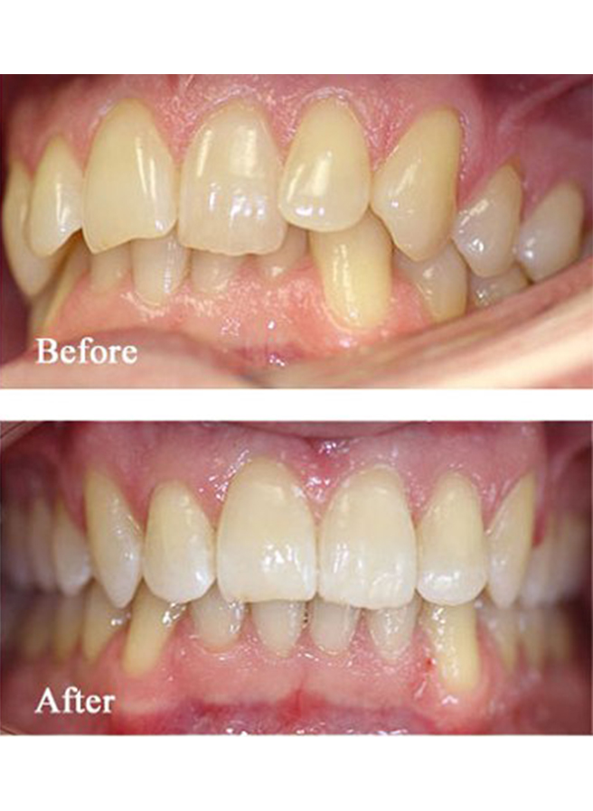
Merrimack Valley Dentistry is now accepting new patients. We specialize in general, family and cosmetic dentistry. Visit us and discover compassionate care along with your best smile.
Schedule an Appointment
See how simple and affordable better oral health can be! Join our Membership Plan
Find out MoreDracut MA | Lowell MA | Methuen MA | Tyngsboro MA | Pelham NH